Maggots to Malignancy: A Psychiatric Patient Journey from Oral Myiasis to Basal Cell Carcinoma.
Dr Astha Pusame1*, Dr Ashok Vikey1, Dr Arushi Chaure1, Dr Sakshi Arora1, Dr Rutuja Patil1
1Oral and maxillofacial pathology and oral microbiology, Govt college of dentistry indore
*Corresponding Author: Dr Astha Pusame, MDS, Oral and maxillofacial pathology and oral microbiology Govt. college of dentistry, Indore, 452001, India
Received: 28 February 2025; Accepted: 09 March 2026; Published: 20 March 2026
Article Information
Citation: Dr Astha Pusame, Ashok Vikey, Arushi Chaure, Sakshi Arora, Rutuja Patil. Maggots to Malignancy: A Psychiatric Patient’s Journey from Oral Myiasis to Basal Cell Carcinoma. Journal of Psychiatry and Psychiatric Disorders 10 (2026): 43-46.
DOI: 10.26502/jppd.2572-519X0270
View / Download Pdf Share at FacebookAbstract
Background: Oral myiasis is a rare parasitic infestation primarily affecting vulnerable individuals with poor hygiene or underlying psychiatric illness. Chronic inflammation associated with prolonged infestation may create a microenvironment conducive to malignant transformation. Case Presentation: We report a rare case of a 40-year-old male with longstanding psychosis who presented with severe oral myiasis in the upper anterior gingivobuccal sulcus. Mechanical removal of larvae and debridement were performed, followed by incisional biopsy. Histopathological examination revealed intraoral basal cell carcinoma, an exceptionally uncommon malignancy in this location. Conclusion: This case highlights the potential association between chronic parasitic infestation and carcinogenesis in neglected psychiatric patients. Early detection, routine oral screening, and integrated multidisciplinary care are essential to prevent advanced presentations and improve outcomes.
Keywords
Oral pathology, Cancer in mental illness, Neglected oral lesion, Maggot infestation, Chronic inflammation, Parasitic infestation, Intraoral malignancy, Psychiatric patient, Basal cell carcinoma, Oral myiasis.
Article Details
1. Introduction
Myiasis is a parasitic infestation caused by dipterous fly larvae that invade and feed on living or necrotic host tissues, body fluids, or ingested food, leading to varying degrees of tissue damage [1]. The condition predominantly affects populations in tropical and subtropical regions, where high humidity and temperature promote the breeding cycle of flies and facilitate transmission [2]. Although cutaneous myiasis represents the most frequent form of presentation, oral myiasis remains a rare entity. It generally occurs in individuals with a combination of local predisposing factors such as poor oral hygiene, halitosis, periodontal disease, untreated ulcers, or traumatic wounds, and systemic factors such as immunosuppression, neurological deficits, or psychiatric illness [3].
Patients with severe psychiatric disorders are at particularly high risk due to impaired self-care, a tendency toward mouth-breathing, reduced awareness of oral health, and delayed reporting of symptoms [4,5]. These factors allow unnoticed lesions to persist and undergo colonization by dipteran larvae, resulting in progressive tissue necrosis. If left untreated, the infestation can advance rapidly, producing extensive local destruction, foul odor, secondary bacterial infections, and occasionally systemic complications. Beyond its immediate destructive effects, chronic myiasis may also act as a predisposing factor for carcinogenesis. Long-standing infestations maintain a chronic inflammatory milieu, stimulate sustained epithelial injury and repair, and generate reactive oxygen species that may contribute to DNA damage [6].
Such conditions are conducive to neoplastic transformation in susceptible individuals. Basal cell carcinoma (BCC), a slow-growing epithelial malignancy predominantly linked to prolonged ultraviolet exposure, is the most common cutaneous cancer, but its intraoral presentation is exceedingly uncommon due to the protective location of the oral mucosa from sunlight [7]. When intraoral BCC does occur, it is often diagnosed late and demonstrates aggressive clinical behavior due to its insidious presentation and lack of characteristic signs. This case report describes an exceptional presentation of intraoral BCC arising in the context of chronic untreated oral myiasis in a patient with longstanding psychosis. It highlights the interplay between neglected parasitic infestation, chronic inflammation, and carcinogenesis, emphasizing the importance of early recognition, multidisciplinary care, and preventive oral health protocols in institutionalized psychiatric populations.
2. Case Presentation
A 40-year-old male with a 15-year history of chronic psychosis was referred from MGM Mental Hospital, Indore to Government College of Dentistry, Indore, for evaluation of a non-healing ulcer in the upper anterior vestibular region. The lesion had been noted by caregivers 3 weeks prior to referral due to foul odor and occasional bleeding. The patient had been institutionalized for several years and was under antipsychotic medication but demonstrated poor self-care and hygiene.
On general examination, the patient was disoriented, afebrile except for a low-grade fever recorded at 38°C, and poorly nourished. Vital signs at admission were stable (BP: 118/74 mmHg, Pulse: 84 bpm). There was no history of alcohol or tobacco use reported by the caregivers.
Intraoral examination revealed extremely poor oral hygiene with generalized gingivitis, halitosis, and significant plaque and food debris. The lesion was located in the upper anterior gingivobuccal sulcus, measuring approximately 2.5 × 1.5 cm. It was irregular, ulcerated, and necrotic, with yellowish slough and active movement of maggots, confirming oral myiasis. (Figure -1).
Clinical intraoral photograph showing a large ulcerative and necrotic defect involving the lower labial mucosa and vestibule. The lesion exhibits slough, exposed bone or tissue, and surrounding erythema with inflamed margins. Poor oral hygiene and multiple carious teeth are also evident. This presentation is suggestive of a severe destructive pathology, such as necrotizing infection, traumatic ulcer with secondary infection, or malignancy, requiring further diagnostic evaluation.
Surrounding tissues were erythematous and edematous, and there was seropurulent discharge. There was no clinical evidence of cervical lymphadenopathy.
Initial management involved the careful removal of approximately 25 larvae under topical anesthesia (2% lidocaine) using forceps, followed by copious irrigation with diluted hydrogen peroxide and normal saline. After debridement, an incisional biopsy was performed from the margin and base of the lesion. A sample of larvae was preserved in 10% formalin for entomological identification. Empirical antibiotics (amoxicillinclavulanate 1.2 g IV every 8 hours) and analgesics were initiated. The patient was admitted for monitoring due to his psychiatric condition.
laboratory tests were performed at admission, and the results are presented below (Table-1).
Table 1: Hematological and Serological Profile of the Patient
|
Parameter |
Observed Value |
Reference Range |
|
Hemoglobin |
12.5 g/dL |
13-17 g/dL |
|
Total Leukocyte Count |
9,500 /µL |
4,000-11,000 /µL |
|
Neutrophils |
70% |
40-70% |
|
Lymphocytes |
25% |
20-40% |
|
Blood Sugar (F) |
98 mg/dL |
70-110 mg/dL |
|
HIV/HBV/HCV serology |
Negative |
Negative |
Table showing routine blood parameters and serology, indicating mild anemia with normal leukocyte count and negative viral markers.
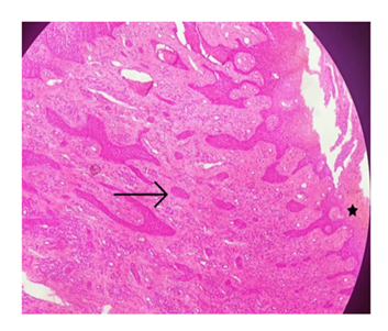
Histopathological Findings (10× view): (figure-2)
At low magnification (10×), the section shows ulceration of the overlying stratified squamous epithelium [Indicating by star] with proliferation of basaloid tumor islands extending into the underlying connective tissue[ indicating by arrow]. The tumor nests are surrounded by a loose myxoid stroma with areas of mucin deposition.
- (A) 10×: Tumor islands of basaloid cells in myxoid stroma with overlying epithelial ulceration.
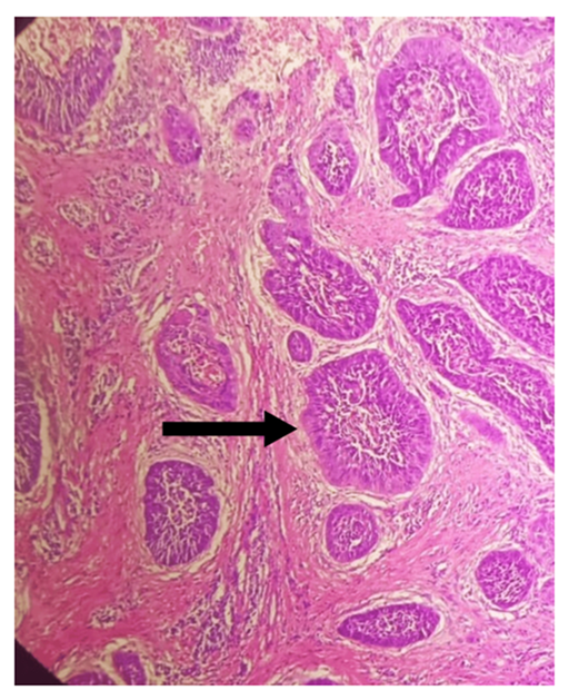
(40× view): (figure-3)
High-power view (40×) reveals tumor islands composed of basaloid cells with hyperchromatic nuclei and scant cytoplasm, exhibiting peripheral palisading of nuclei. Retraction clefts between the tumor nests and the surrounding stroma are evident. These features are characteristic of basal cell carcinoma.
- (B) 40×: Basaloid cells showing peripheral palisading and retraction clefts, diagnostic of BCC.
3. Discussion
Oral myiasis is an uncommon but potentially destructive parasitic infestation, predominantly caused by dipterous fly larvae, which feed on necrotic tissues in the oral cavity. It most commonly affects vulnerable populations such as individuals with psychiatric disorders, those with severe physical disabilities, elderly patients, and persons with poor oral hygiene or debilitated systemic health [3, 4]. Due to impaired self-care, diminished pain perception, and communication difficulties, these patients often fail to report early symptoms, allowing the larvae to proliferate unchecked. The resulting tissue destruction and chronic infection may persist for weeks before diagnosis and intervention are attempted [5].
In our patient, the infestation was advanced at the time of presentation. Prolonged exposure of oral mucosa to the larvae, coupled with neglected oral hygiene, produced a chronic inflammatory microenvironment. Persistent inflammation has been shown to contribute to carcinogenesis by promoting epithelial proliferation, increasing production of reactive oxygen species, causing DNA damage, and altering cellular signaling pathways [6]. Such conditions may predispose to dysplastic changes and eventual malignant transformation. Although basal cell carcinoma (BCC) is typically a cutaneous malignancy associated with chronic ultraviolet exposure, intraoral BCC is exceedingly rare because the oral cavity is relatively shielded from sunlight [7]. However, chronic irritation, trauma, and repeated infectious insults may act as alternative triggers for tumorigenesis in this unusual anatomic site. Similar pathogenetic mechanisms have been suggested in a few reported cases where chronic inflammatory stimuli in the oral cavity have led to neoplasms, most commonly squamous cell carcinoma, and more rarely BCC [8, 9].
Psychiatric patients represent a particularly high-risk group in this context. They frequently face delayed diagnosis of oral diseases due to reduced health-seeking behavior, lack of regular dental surveillance, and communication barriers [10-12]. This problem has been recognized as a neglected area of psychiatric patient care, particularly in institutionalized populations [13]. Once diagnosed, the management of malignancies in such patients can be complex, often compounded by poor compliance with therapy, difficulties in maintaining follow-up, and ethical dilemmas related to decision-making and informed consent [14]. These factors can worsen prognosis and compromise treatment outcomes, as there is clear evidence that poor oral health significantly worsens overall health outcomes in people with severe mental illness [15]. The impact on quality of life is also substantial, with multiple studies demonstrating that oral diseases affect nutrition, self-esteem, and social functioning in patients with severe psychiatric conditions [16]. A systematic review has confirmed that psychiatric patients suffer disproportionately from oral diseases, which can increase their risk of systemic complications and even malignancies [17].
This case underscores the importance of multidisciplinary care, including psychiatry, oral medicine, maxillofacial surgery, and oncology, for individuals with chronic psychiatric illnesses. Regular oral health screening and preventive care protocols within psychiatric institutions are imperative for early detection of infestations and precancerous lesions, thereby preventing such advanced presentations. Integration of dental professionals into psychiatric care teams has been shown to improve oral health outcomes, reduce disease burden, and enhance quality of life in institutionalized populations [18].
4. Conclusions
This case highlights a rare but significant clinical sequence in which neglected oral myiasis in a vulnerable psychiatric patient created a persistent inflammatory environment that culminated in the development of intraoral basal cell carcinoma. Our observations support the hypothesis that chronic parasitic infestation, coupled with poor hygiene and delayed detection, can act as a continuous source of irritation and DNA damage, potentially initiating malignant transformation even in sites not typically predisposed to BCC. This case also underscores the multifaceted challenges of oral health care in psychiatric populations, including late presentation, compromised immunity, and barriers to effective treatment planning. The definitive implication of these findings is the need for integrating routine oral screening, early parasite control, and structured dental services into long-term psychiatric care programs, which may prevent such advanced and complex presentations in institutionalized patients.
Additional Information Disclosures
Human subjects
Informed consent for treatment and open access publication was obtained or waived by all participants in this study. Madhya Pradesh Medical Science University, govt college of dentistry indore issued approval no number. This case report did not require formal ethical approval as per the guidelines of our institution.
Conflicts of interest
In compliance with the ICMJE uniform disclosure form, all authors declare the following:
Payment/services info
All authors have declared that no financial support was received from any organization for the submitted work.
Financial relationships
All authors have declared that they have no financial relationships at present or within the previous three years with any organizations that might have an interest in the submitted work.
Other relationships
All authors have declared that there are no other relationships or activities that could appear to have influenced the submitted work.
References
- Service MW. Flies and myiasis. In: Medical Entomology for Students. Cambridge University Press, Cambridge, UK 157 (2012): 175.
- Robbins K, Khachemoune A. Cutaneous myiasis: a review of the common types of myiasis. Int J Dermatol 49 (2010): 1092-1098.
- Francesconi F, Lupi O. Myiasis. Clin Microbiol Rev 25 (2012): 79-105.
- Bhansali SP, Tiwari AD, Gupta DK, et al. Oral myiasis in paralytic patients with special needs: a report of three cases. Natl J Maxillofac Surg 9 (2018): 110-112.
- Sharma A, Hedge A. Primary oral myiasis due to Chrysomya bezziana treated with ivermectin: a case report. J Clin Pediatr Dent 34 (2010): 259-262.
- Kaur P, Kler S, Bansal N. Oral myiasis: a review. J Oral Health Community Dent 10 (2016): 21-24.
- Soler-Carrillo J, Moya-Villaescusa MJ, Mateo-Arias J. Basal cell carcinoma of the oral cavity: an exceptional location. Actas Dermosifiliogr 106 (2015): 252-253.
- Zachariah JE, Sehgal K, Dixit UB. Oral myiasis: a case report. Spec Care Dentist 34 (2014): 51-53.
- Purohit DN, Mishra DM, Sharma DR, et al. Oral myiasis: case report of a rare entity. Univ J Dent Sci 10 (2024): 92-95.
- Ishikawa H, Yasunaga H, Matsui H, et al. Differences in cancer stage, treatment and inhospital mortality between patients with and without schizophrenia: a retrospective matched-pair cohort study. Br J Psychiatry 208 (2016): 239-244.
- Kisely S, Crowe E, Lawrence D. Cancer-related mortality in people with mental illness. JAMA 299 (2008): 2043-2050.
- Himelhoch S, Medoff DR. Efficacy of cancer screening among people with mental illness: a meta-analysis. Psychiatr Serv 56 (2005): 85-91.
- Stein DJ, Seedat S, Herman A. Managing cancer in psychiatric patients. Curr Psychiatry Rep 15 (2013): 349.
- McCreadie R G. Oral health in schizophrenia: A neglected topic. The. British Journal of Psychiatry 181 (2002): 34-37.
- Kisely S. No mental health without oral health. The. Canadian Journal of Psychiatry 61 (2016): 277-282.


